AMAZING BEFORE AND AFTER SMILES

Real Patients Real Results

Your smile has a big impact on how you look and feel. Dr. Jones and his team continually help patients transform their lives by transforming their smiles. Every day we help our wonderful patients enjoy healthier, more attractive smiles. We customize each smile makeover for each individual. We provide the best orthodontic care in Monroe, Washington. See for yourself.
Below you will find before and after photos of real patients and their smiles. The photos tell stories of what we can do for you. Please take a look at some of the transformations we’ve created for our patients, then call us at (360) 863-0303 to schedule your complimentary orthodontic consultation so we can get started!
Take A Look At Our Smile Transformations
Aaliyah’s Smile Transformation




Addy’s Smile Transformation


Austin’s Smile Transformation



Miranda’s Smile Transformation




Addy’s Smile Transformation


Noah’s Smile Transformation



Lexie’s Smile Transformation




Landen’s Smile Transformation


Landen’s Smile Transformation



Sage’s Smile Transformation




Chad’s Smile Transformation


Chad’s Smile Transformation



Abby’s Smile Transformation




Bhuvan’s Smile Transformation


Bhuvan’s Smile Transformation



Jazlin’s Smile Transformation




Malia’s Smile Transformation


Malia’s Smile Transformation



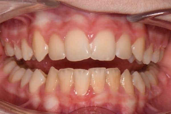
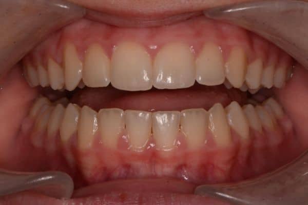
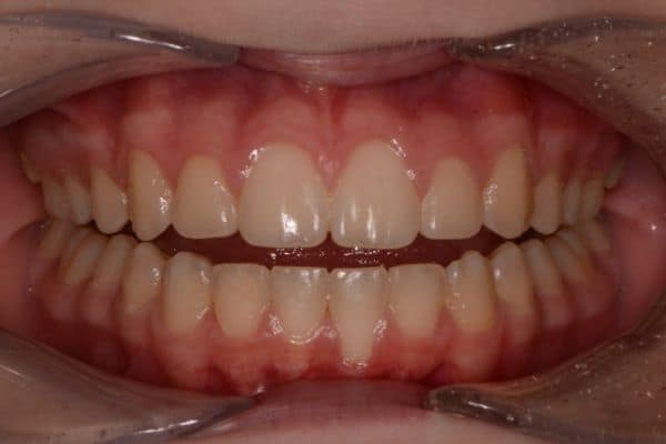
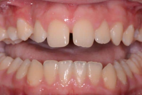
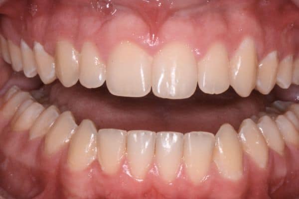
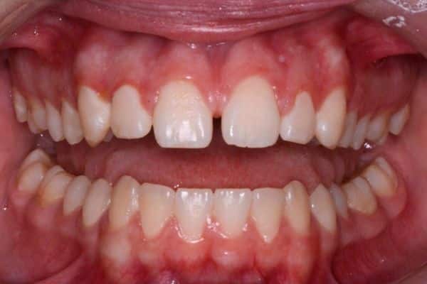
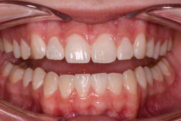
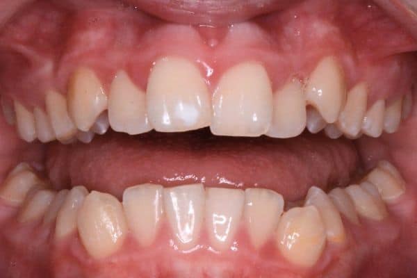
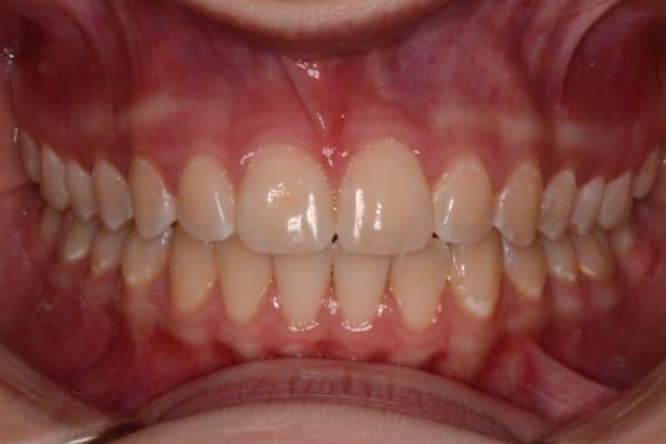
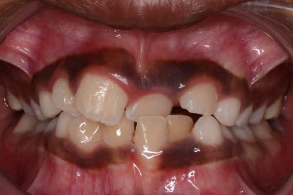
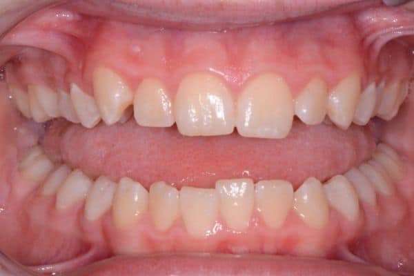
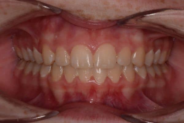
Spacing And Impacted Teeth

This before and after shows a young adult patient who came to our office with a deep bite, spacing, and impacted permanent upper canines (her baby teeth were still in place). We were able to correct these problems and bring the impacted permanent canines into place.
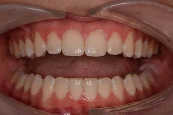
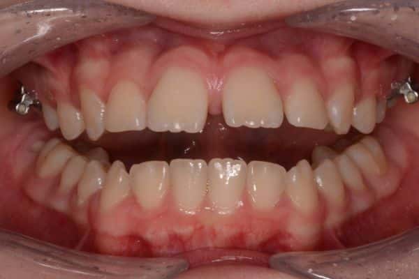
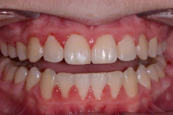
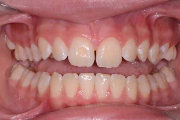
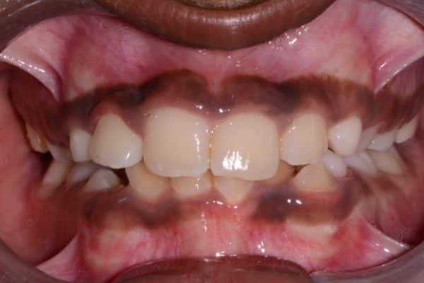
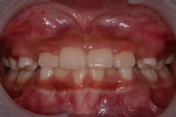
Overbite And Crowded Teeth

Crowded teeth and an overbite were this patient’s main concerns. With braces and elastics, we were able to achieve a lovely smile and improved bite.
Underbite And Appearance

Orthodontic treatment resulted in much better appearance of the teeth, as well as an improved bite, which will prevent problems that would have occurred if the bite was not corrected.
Crowding, Flare Teeth, And Overbite

Sometimes there is not enough space for all of the teeth to fit into proper alignment and bite. This patient had premolar teeth removed along with braces to improve the angulation and alignment of the teeth and for much better alignment.
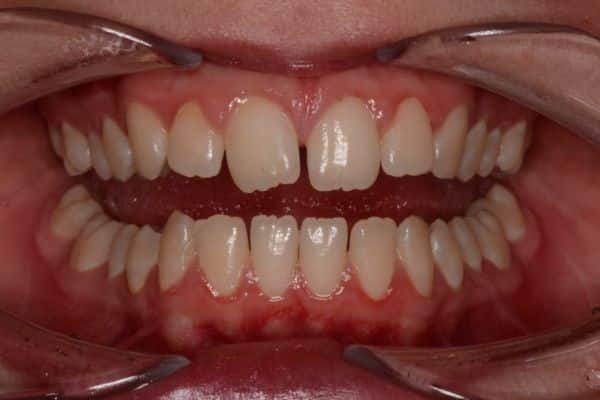
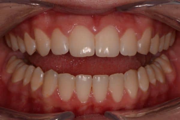
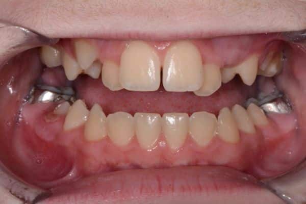
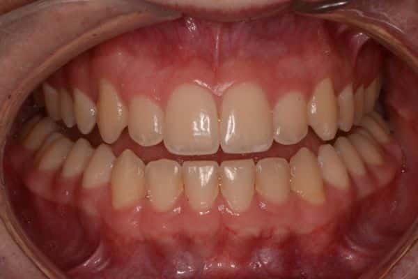
Orthodontics And Cosmetic Dentistry

After the teeth were aligned with braces, this patient had cosmetic dentistry to improve the size, shape and color of the upper front teeth.
Deep Bite And Retruded Teeth

This teenage patient had upper front teeth that were tipped backwards and a very deep bite. With braces we were able to improve the bite and tooth position, which also improved the appearance of the gums.

